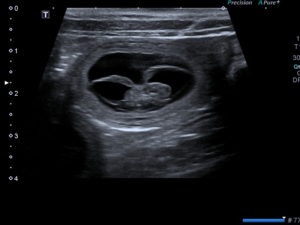
Heute waren wir mit Mabel zur Ultraschalluntersuchung. Ein tolles Ergebnis: Wir erwarten Mitte Juni die Welpen von Samu und Mabel Int. Ch., Dt.Ch., NL.Jgd.Ch. Crazy Border’s Heartbreaker “Samu” Dt.Jgd.Ch. VDH+Club Never ending Love with Charme and Cleverness “Mabel”
